Metamorfozy — licówki przed i po
Ivory Metamorfozy
Metamorfozy — licówki przed i po
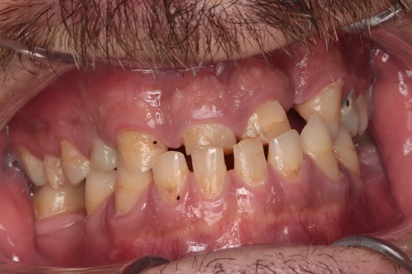
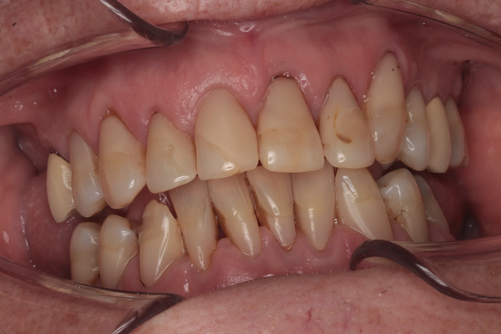
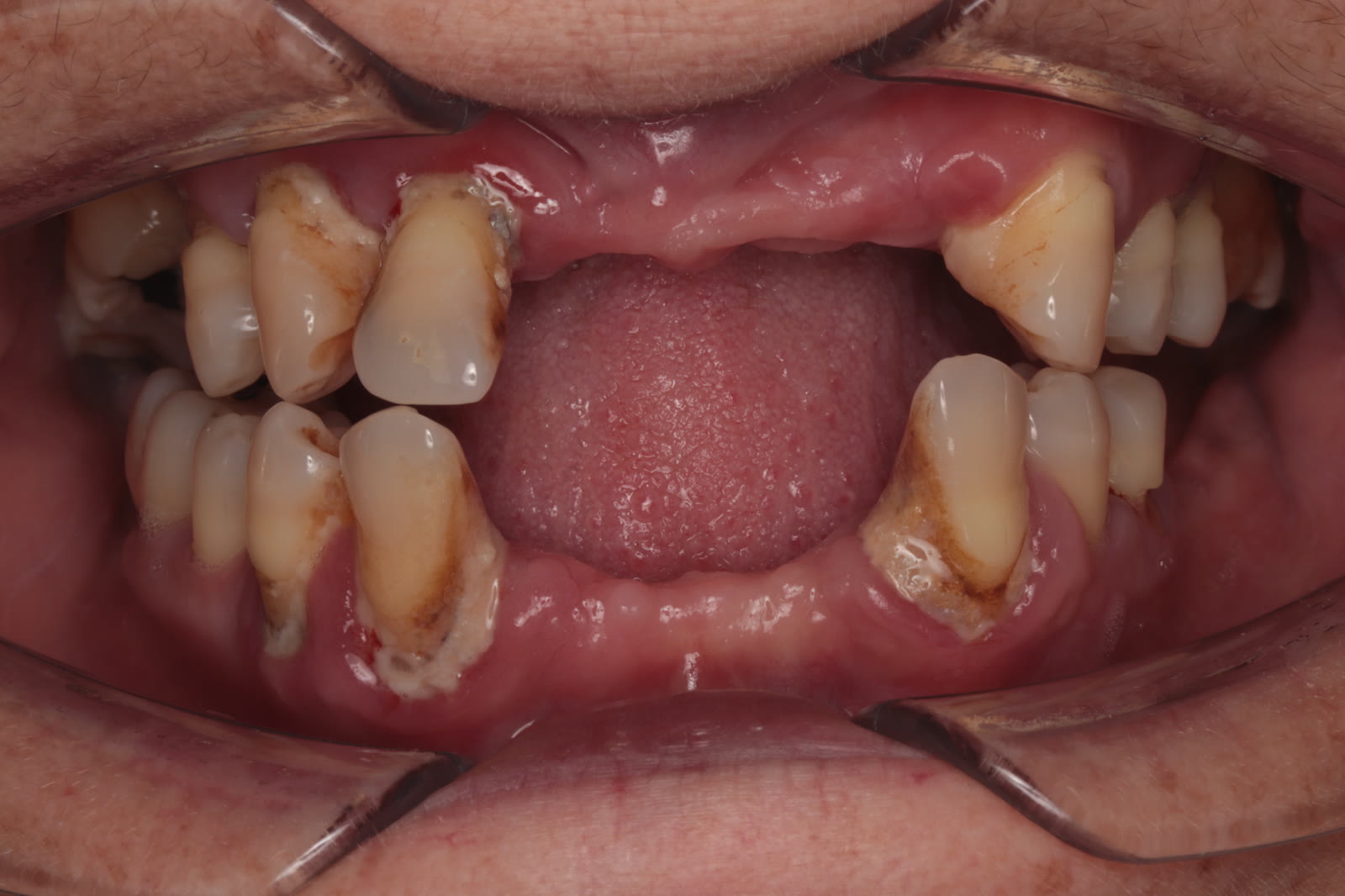
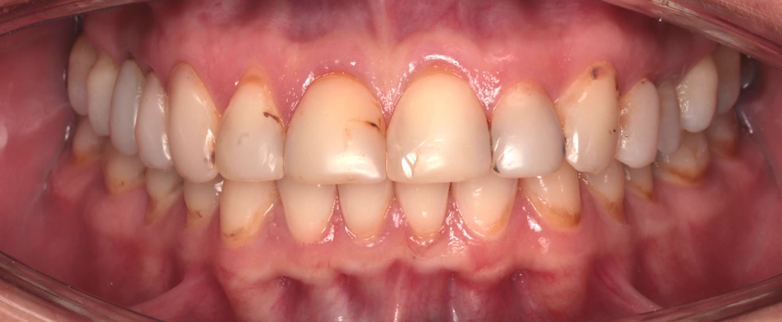
Realne efekty leczenia licówkami porcelanowymi w klinice Ivory Dental Clinic na Gocławiu. Każdy przypadek został zaprojektowany indywidualnie — od planu cyfrowego Digital Smile Design i mock-upu, przez precyzyjną preparację, po finalne cementowanie. Przesuń suwak, aby zobaczyć metamorfozę.
Jak przebiega metamorfoza uśmiechu w Ivory
Każda metamorfoza zaczyna się od rozmowy o oczekiwaniach i dokładnej diagnostyki. Poniżej kolejność etapów, którą stosujemy przy licówkach porcelanowych.
01
Konsultacja i diagnostyka
Rozmawiamy o tym, co Cię uwiera, i co chcesz zmienić. Wykonujemy skan cyfrowy, zdjęcia oraz w razie potrzeby tomografię 3D. Powstaje indywidualny plan leczenia.
02
Projekt uśmiechu (Digital Smile Design)
Projektujemy nowy uśmiech cyfrowo — zobacz efekt jeszcze przed rozpoczęciem leczenia. Dopracowujemy kształt, proporcje i kolor zębów tak, aby pasowały do Twojej twarzy.
03
Mock-up i akceptacja
Przymierzasz projekt w ustach — mock-up pozwala zobaczyć nowy uśmiech w lustrze i wprowadzić korekty zanim przystąpimy do pracy na zębach.
04
Preparacja i wykonanie licówek
Minimalnie szlifujemy zęby (często bez znieczulenia) i zakładamy licówki tymczasowe. W tym czasie laboratorium wykonuje licówki porcelanowe dopasowane do projektu.
05
Cementowanie i kontrola
Finalne licówki zostają trwale połączone z zębami. Po kilku dniach zapraszamy na wizytę kontrolną, aby upewnić się, że zgryz i komfort są idealne.
Zobacz również
Metamorfoza uśmiechu to nie tylko licówki. W Ivory łączymy różne techniki — w zależności od stanu zębów dobieramy to, co da najlepszy efekt estetyczny i jest najmniej inwazyjne dla pacjenta.
- Licówki porcelanowe — najbardziej trwałe rozwiązanie dla pełnej metamorfozy uśmiechu.
- Bonding — odbudowa kompozytowa, świetna do korekt kształtu i drobnych defektów.
- Galeria kliniki — wnętrza, gabinety i zespół Ivory.
Zaprojektuj swój uśmiech
Umów konsultację w Ivory Dental Clinic
Bezpłatny przegląd stomatologiczny lub konsultacja estetyczna — obejrzymy Twoje zęby, wykonamy skan cyfrowy i pokażemy projekt nowego uśmiechu jeszcze przed podjęciem decyzji o leczeniu.

